Gezondheid en onderzoeken

Loes is getest op:

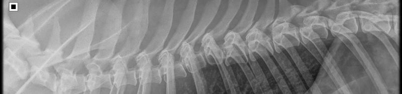
Röntgen foto van de rug, 

Ruggenmerg niks gevonden en heeft een goed doorstroming. 

Geen spondylose.

Geen verkalkingen over de hele wervelkolom.

Patella Luxation (PL) Links vrij Rechts vrij 

HD  ( A)

ED  vrij

Gebit  goed

Gehooringang  ruim

Ct scan

ECVO oogtest   vrij

Algehele conditie   zeer goed

Geen allergie

ruime neusgaten

Ruime luchtpijp

strottenhoofd normaal

Hart echo  vrij van bevindingen.

 Loes is DNA getest volgens Embark

Genetische COI 14%

Al onze onderzoeken zijn in te zien op aanvraag.

 

Maar dan  hebben we ook nog te maken met de Nederlandse wet.

Sinds Maart 2019 zijn er duidelijke regels over het fokken van honden met een korte snuit.

Je kunt hier alles over vinden op de site van de Raad van Beheer onder het kopje:  

´ Fokken met kortsnuitige honden´.

 

Fotoś van Loes, HD, ED, Rug, Heupen.

Gezondheidsuitslagen van  Vlinder 20-09-2021

Röntgen foto van de rug, 

Ruggenmerg niks gevonden en heeft een goede doorstroming. 

Geen spondylose.

Geen verkalkingen over de hele wervelkolom.

Patella Luxation (PL) Links vrij Rechts vrij 

HD  ( B)

ED  vrij

CDDY/IVDD,type 1 IVDD

Gebit  zeer goed alle elementen aanwezig.

Gehooringang  ruim

Ct scan

ECVO oogtest:   vrij

Algehele conditie   zeer goed

Geen allergie

ruime neusgaten

CFR 0,4

DM vrij

Ruime luchtpijp

strottenhoofd normaal

Hart echo  

 Vlinder is DNA getest via Embark

Genetische COI 13%

Em/Em ,Ky/Ky,ay/at, DD

N/ DVL2

Al onze onderzoeken zijn in te zien op aanvraag.

 

 

Röntgenfoto Vlinder 

Rontgen fotoś  A- nest

2 genetische defecten

1)  Chondrostrofie  (CDDY)

- voortijdige ontbinding van de bandenschijven

-dominante erfenis (zodat zowel dragers als dubbeldragers ziek kunnen worden)

-In De meeste Franse Buldoggen  zijn dubbele dragers, sommige zijn dragers,  en er zijn zeer weinig vrije dieren.

_vrije en dragers  vertonen vaak een verandering in beenlengte.

2) Schroefstaart Gen (DVL2)

_ wordt geassocieerd met vervorming van de rugwervels.

_recessieve erfenis met verschillende uitspraak (Alleen dubbele dragers kunnen ziek worden)

- Alle franse buldoggen zijn 100% dubbeldrager

-zowel vrije als dragers laten vaak een goede ontwikkelde staart zien.

Zowel CDDY als DVL2 zijn belangrijk voor een goede gezonde rug.